-
近日,一附院外一科(肝胆外科)为一名巨大肝脏肿瘤患者成功实施手术切除。 患者朱某,男,63岁,因“上腹部灼热不适9月余”来诊收入院。住院后查体见腹部膨隆,可触及大小约30x20x20cm包块,质硬,表面尚光滑,无压痛。腹部CT提示,肝左叶巨大肿块,压迫邻近器官、几乎占据整个腹腔。如此巨大的肝脏肿瘤,在临床上实属罕见,能够实施手术治疗,区内乃至国内报道也是为数不多。 患者入院后经完善相关检查,临床诊断为“原发性肝...04.062017
-
为了进一步加强党的基层组织建设,解决党组织的战斗力、凝聚力不强,组织涣散等问题,切实增强广大党员的责任感和使命感,进一步巩固基层党支部的战斗堡垒作用,充分发挥瑞康医院党员的先锋模范作用,服务百姓,3月31日,广西三月三清明小长假的第2天,瑞康医院外科二支部组织了由志愿党员组成的医疗骨干共6人,在支部书记梁泰生教授的带领下赴桂平市西山镇白兰村开展“深化服务基层促发展”为主题的义诊和慰问抗美援朝老战士活...04.062017
-
2017年3月27日、28日,瑞康医院关节与运动医学科主任李书振、技术主任苏波、副主任丰哲及护士长凌艳燕率领科室团队到隆安县中医院开展学术交流与义诊活动。 在隆安县中医院会议室里,李书振主任、苏波技术主任为隆安县中医院及隆安县乡镇卫生院基层医生进行了学术讲座。在《关节镜在骨科的应用》讲座中,李书振主任为大家介绍了关节镜的应用部位及适应症;在题为《膝骨关节炎的阶梯治疗》讲座中,苏波技术主任为大家介绍膝...04.052017
-
根据《关于开展2017年度广西科学技术奖推荐工作的通知》和《关于组织申报推荐2017年度广西医药卫生适宜技术推广奖项目的通知》,一附院关于成果奖的申报工作已经展开。2017年3月28日晚,一附院在一附院医技楼七楼第一会议厅举行了2017年广西科学技术进步奖、广西医药卫生适宜技术推广奖及专利申报动员培训会。本次培训会由一附院副院长毛德文、广西驰纵信知识产权代理有限公司讲师李科授课,科研部常务副主任唐宏亮主持,一附院...03.292017
-
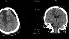
近日,一附院外六科(神经外科)成功进行1例颅底巨大廉旁脑膜瘤开颅显微切除术,肿瘤大小达9.2cm×7.5cm×7.9cm,接近一成年男子拳头大小,在广西区内实属罕见。 患者因“反复头晕10余年,加重并持续全身抽搐1天”由外院转入。入院诊断为:1.右侧大脑半球巨大脑肿瘤;2.继发性持续性癫痫;3.高血压病Ⅲ级,极高危组;4.Ⅱ型糖尿病;5.全身多处皮肤Ⅱ度烫伤。入院后主治医生迅速给予降颅内压、抗癫痫、控制血压...03.292017
-
近日,一附院心血管科一区团队成功完成了一附院首例经皮穿刺导管房颤射频消融术,手术效果显著,患者术中即转为窦性心律,目前该患者已康复出院。 患者赵某,男性,54岁,反复房颤发作近10年,曾发生脑梗死一次,既往无高血压病、糖尿病等病史,多次外院查24小时动态心电图均提示阵发性房颤,近一个月发作频繁,在当地医院住院药物治疗效果欠佳,由于长期房颤发作,患者出现较严重的精神焦虑和抑郁状态。入住一附院心血管科一...03.292017
-
玻璃体视网膜疾病是眼科疾病里面严重而又复杂的一类疾病,包括有糖尿病性视网膜病变、视网膜脱离、玻璃体积血、严重的玻璃体浑浊、化脓性眼内炎、复杂眼外伤如球内异物等,这类疾病大多需要通过玻璃体手术治疗。玻璃体视网膜手术的开展不仅需要配备相应的设备(如玻璃体切割机、眼底激光治疗仪等),而且对医生手术技术水平要求高。 为了开展此项高水平的眼科新技术,一附院眼科派胡秋明医生先后到上海交通大学医学院附属新华医...03.292017
-
患有面部肿瘤30余年,住院90天,切除直径15cm的巨大肿瘤,手术前后输红细胞26单位,血浆3000ml,四进四出ICU,2次科内病例讨论,1次全院病例大讨论,移植自身别处组织瓣进行“换脸”,多次抢救,无数次伤口换药……在YABO鸭脖附属瑞康医院耳鼻咽喉头颈外科、ICU及相关科室的医护人员共同努力下,患有面部巨大肿瘤刘女士最终迎来了生命的“重生”! 2017年2月18日,在瑞康医院耳鼻...03.282017
-
近日,根据上级领导的安排,瑞康医院重症医学科二区谭玉萍主任在繁忙的工作中,带领大家认真学习了由南宁市卫生和计划生育委员会办公室下发的“关于开展H7N9疫情防控工作指导活动的通知” ,并积极部署了科室接下来应对禽流感的各项工作。 会议要求,科室全体医护人员要高度重视疫情防控情况,时时关注疫情新动态,听从上级领导指挥,确保H7N9各项防控措施落到实处,并保证科室各项工作有序进行。遵照“广...03.282017
-
近日,正在我院放疗科二区做治疗的患者贾长龙交给笔者亲笔书写的三封信,一封介绍自己的经历和选择到瑞康医院做治疗的理由;一封《侯主任 :一个大爱无疆的人》细数我院肿瘤二区侯恩存主任处处为病人着想,以病人利益为最高追求的大爱无疆的精神;还有一封是《感谢信》,感谢我院放疗科二区梁平主任及医护团队细心周到的治疗。洋洋洒洒三千余字对我院中西结合肿瘤治疗中心多学科联合治疗肿瘤的综合性积极作用,也是对我院医务人...03.282017

单点登录
账号密码登录