一附院外六科成功救治1例颅底廉旁巨大脑肿瘤患者
近日,一附院外六科(神经外科)成功进行1例颅底巨大廉旁脑膜瘤开颅显微切除术,肿瘤大小达9.2cm×7.5cm×7.9cm,接近一成年男子拳头大小,在广西区内实属罕见。
患者因“反复头晕10余年,加重并持续全身抽搐1天”由外院转入。入院诊断为:1.右侧大脑半球巨大脑肿瘤;2.继发性持续性癫痫;3.高血压病Ⅲ级,极高危组;4.Ⅱ型糖尿病;5.全身多处皮肤Ⅱ度烫伤。入院后主治医生迅速给予降颅内压、抗癫痫、控制血压、控制血糖及完善术前检查等抢救处理,但持续癫痫症状难以控制,患者病情十分危重,在使用硝普钠及多联降压药下血压还持续波动在200/100mmHg左右;胰岛素的用量已达80U/天,患者血糖水平仍固定在19mmol/L,病情明显迅速恶化,入院第三天,患者即出现嗅觉及右眼视力丧失、意识很快转入昏迷状态,四肢肌力0级,情况十分危急。
外六科(神经外科)主任张高炼教授紧急组织全科医护人员进行危重病例讨论,张高炼教授认为,患者基础血压及血糖极高,颅内巨大肿瘤致颅内压增高,很快出现脑疝,病情复杂、十分凶险,但主要问题还是颅内巨大脑膜瘤高占位效应,神经损害症状明显,肿瘤紧贴颅底重要神经和大血管生长,且压迫中央前回、下丘脑部,脑组织都有明显粘连。增强造影显示肿瘤供血极为丰富,肿瘤体内的血管密麻如织,周围有数支粗大上吻合静脉包绕,与矢状窦、上静脉吻合、肿瘤接受双侧颈内颈外动脉双重供血,相当于常见脑膜瘤供血的十几倍,此种情况,要把肿瘤与脑组织和颅底的重要神经及已紧密粘连的大血管分离出来,难度极大,极高的手术风险不言而喻。但病人情况危急,也只有手术才能有机会挽回患者的生命。经过反复与患者家属详细沟通,患者的丈夫及儿子表示理解并要求进行手术。
最后,外六科医疗团队在张高炼教授的主持下,决定给患者实施手术。根据患者的病情和身体状况,大家缜密研究治疗方案,决定首先为患者施行颈外动脉栓塞术,阻断瘤体的部分血液供应,再进行开颅切除颅内肿瘤手术。神经外科、麻醉科、介入室、手术室周密做好手术配合的准备工作。
手术当天,尽管采取一切降压办法,患者的血压仍然很高,一直维持在210/120mmHg左右,由于麻醉风险极高,麻醉医师提议是否放弃麻醉暂缓手术治疗。此时,手术组医师对此再次进行术中讨论,大家认为,患者血压那么高而且难于降压,主要还是颅内高压所致,经再次与患者家属沟通,再次取得家属理解信任后,麻醉师继续实施麻醉。由张高炼教授主刀,对患者实施了“冠状大切口右额跨窦开颅,行颅底巨大廉旁脑膜瘤切除术”,经过大家的努力,患者血压虽高但心肺等脏器功能稳定,无影灯下,大家聚精会神,医护配合娴熟,手术紧张而有序,在显微镜下细心止血,一步步分离重要的血管和神经,近6个小时的付出和艰辛,最终顺利为患者全切了巨大脑肿瘤。
手术结束后,得知肿瘤被全部切除,手术顺利,大家都为之捏把汗,在外等候多时的全家老小喜极而泣。经过外六科ICU术后2个小时的复苏,患者很快清醒,血压恢复正常,拔出气管插管;术后第二天,患者语言正常,右眼视力逐渐恢复,癫痫症状消失,四肢逐渐恢复活动。经过术后康复治疗及护理,相信患者一定能早日康复出院。
脑膜瘤的人群发生率为2/10万,占全脑肿瘤的约13~20%。近年发现脑膜瘤的发生率明显增高,尤其在中青年人,许多无症状的脑膜瘤多为偶然发现。脑膜瘤的病因尚在探索,有报道可能与一定的内环境改变和基因变异有关。常见类型有:内皮型、成纤维型、沙粒型、混合型或移行型、恶性脑膜瘤、脑膜肉瘤。
脑膜瘤属良性肿瘤,生长慢,病程长。病人往往以头晕、头痛、视力下降、肢体无力或癫痫等为首发症状。根据肿瘤部位不同,还可以出现嗅觉或听觉障碍及大小便功能障碍等。老年病人,尤以癫痫发作为首发症状多见。手术切除是脑膜瘤的最佳治疗手段,主要及早发现,尽早手术治疗,可获得痊愈。

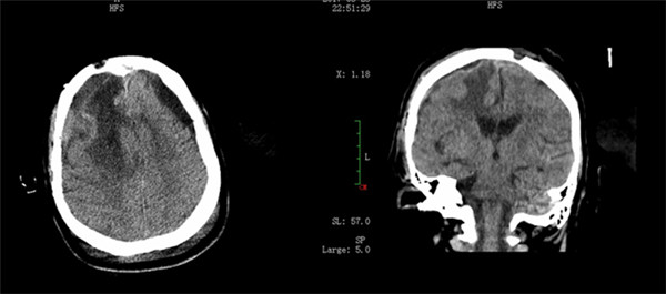
术前影像

术后影像

单点登录
账号密码登录