壮药基础及其关键技术研究
壮药基础及其关键技术研究
朱华 傅鹏 王孝勋 苏健 滕建北 梁子宁 戴忠华
笪舫芳 张淼 黎理 谢凤凤 许立拔
(YABO鸭脖,广西 南宁 530200)1.研究背景
《国务院关于进一步促进广西经济社会发展的若干意见》(国发[2009]42 号)明确提出: “实施壮瑶医药振兴计划,建立质量标准体系。”自治区制定了《发展中医药壮医药条例》、《壮瑶医药振兴计划》、《广西中医药壮瑶医药发展“十三五”规划》、《关于推动工业高质量发展的决定》等政策,为壮医药发展提供了强有力的支撑。把壮药特色优势资源转化为加快经济社会发展方式转变的重要动力,成为经济增长新动能,满足人民健康事业的需求, 推动壮药高质量发展的前景十分巨大。资源丰富,特色优势明显。壮族是我国最多人口的少数民族,壮药最具原始创新性。广西壮药基原种类 2200 种、全国第三次资源普查(1987)显示广西有中草药物种 4623 种, 中草药物种数量排全国第二位。目前进行的全国第四次资源普查(2018)阶段成果报告全区已查清物种数量有较大程度增长。主要问题及分析。1.壮药尚未进入国家药品标准及《中华人民共和国药典》。国家主管部门颁布藏药、蒙药、维药国家标准,设置《卫生部药品标准藏药分册》、《卫生部药品标准蒙药分册》、《卫生部药品标准维药分册》,但是无《壮药分册》;全国民族药部颁标准品种共有 856 种,其中藏药 318 种、苗药 274 种、蒙药 177 种, 维吾尔药 87 种;2002 年,435 个民族药地方标准转为国家标准,至此民族药的国家标准共计 1209 个,以上国家药品标准均未收载壮药;《中华人民共和国药典》收载有藏药、蒙药、维药等,也没有收载壮药、瑶药。国家药典民族医药专业委员会也没有壮医药专业委员。2.壮药产业发展的潜力亟待挖掘。我区设定医药(含中药民族药)产业产值 1000 亿,按目前发展的速度,该产业经济指标很难达到预定目标。3.“科技创新”和“制度创新”双轮驱动有待加强。我区 11 项涉及民族药(壮瑶药)研究的项目获得广西科学技术奖励(省级),同比贵州(20 项)少 45%。4.我区壮瑶医药理论、文化传承及临床疗效评价与技术规范有待完善。壮药的临床应用历史上缺乏传统文字记载,壮医药理论指导下壮药临床应用相关规范和标准尚未上升到国家行业水平,这些短板是国家批准壮瑶药上市并纳入国家药品标准体系的主要技术制约因素。5.壮瑶药研发滞后。资源优势向产业优势转型受到制约。壮医药人才不足,缺乏壮药本土化的高层次人才、学科领军与企业管理人才。(3)壮瑶药产业现代化、信息化、国际化及壮瑶医药服务总量不足。针对以上问题,目前“建地标,明身份”(即建立壮药质量标准体系)是解决壮药发展的主要瓶颈问题,什么是壮药?如何判断壮药的真伪优劣,如何让各族群众信任壮药、用好壮药,使传承壮药成为民族地区大健康产业新动能,促进广西医药卫生事业及壮药产业高质量发展,壮药基础(含建立质量标准体系等)及其关键技术创新与应用是解决以上问题的关键所在。发展壮药就要打基础,基础的根本就要建立质量标准体系,提升质量标准水平涉及理论、资源、栽培、加工、鉴定、药效、临床、生产及应用等全行业各方面,本项目将基础多方面技术需求归纳为“基于壮医药理论‘四位一体’(品种、质量、药效、应用)关键技术创新与应用”,以推动壮药发展。
2.总体思路
基于壮医药理论指导下的壮药基础及其关键技术创新与应用的总体思路:指导思想为“源于壮医、创新理论、科学求证、结合临床、生产应用”。核心理论“祛邪毒,调咪叠, 通道路,助正气”的壮医治疗原则 ,选药原则为解毒调气补虚 “三联互动”,关键技术创新为四位一体“品-质-效-用”壮药多维评价技术体系。
壮药材是一个复杂系统,由壮药的生态环境和壮药作用的机体相互作用构成,系统中关键的要素是“品、质、效、用”[1]。壮药材多维评价关键技术创新,就是在壮医药理论指导下,将科学的两大研究方法—系统分析方法和组织理论方法结合起来,研究壮药材系统的品种鉴定、质量控制、药效筛选、临床验证、生产应用,从而揭示壮药材系统的要素,结构,功能,以及与环境发生作用的变化规律。
3.主要创新点
(1)壮药理论传承创新,提出“三联互动(调气、补虚、解毒)”和“系统壮药”的壮药理论,出版原创中药壮药理论著作 12 部,首创全球第一本壮瑶药研究季刊(中文、英文、壮文 2017 年创办,知网维普等收载),开辟了壮药学术期刊的历史先河,为壮瑶药振兴计划打下了理论基础[2]。
(2)壮药基础及关键技术创新,提出并完善“基于壮医药理论‘四位一体’(品种、质量、药效、应用)关键技术创新与应用”,形成“系统壮药”多维评价技术体系,从壮药材品种鉴定、质量控制、药效筛选、临床与生产应用等方面进行系统研究,揭示壮药系统的要素、结构、功能以及与环境发生作用的变化规律。
(3)质量标准创新,制定并获批收载药材质量标准 27 个(24 个为壮药),“该研究团队首次构建了壮药质量标准科学体系,对壮药标准的制定起到示范和引领作用” 。(黄汉儒)
(4)资源普查创新,开展武鸣、上林、上思、钦北等 县域中药(壮药)资源普查通过国家级验收,建立国际第一个壮药资源标本库及数据中心。
(5)研究途径与方法创新,对壮药两面针原植物的内生真菌及其药用活性代谢物的抗肿瘤作用研究,开辟获得壮药生物活性物质的新途径;对壮药拳卷地钱遗传差异与药材品质相关性的研究,从分子水平对药材的品质进行控制;开展了广西产铁皮石斛药材的栽培加工研究,提出“光照为要”新观点。
(6)产品研制创新,多个新产品获批投入生产,拥有多个授权专利。
(7)区域合作创新,首创 3 届国内外较大的壮瑶药协同创新高端学术论坛,牵头成立桂粤湘黔滇五省(区)壮瑶药协同创新专家联盟(理事长单位)。
(8)人才培养模式创新,引入壮瑶药形成新的中药教育体系,培养壮药研究项目博士生 11 人(其中 8 人已毕业均获博士学位),获广西一流学科中药学民族药学和自治区级教学成果奖二等奖。
4.基于壮医药理论“四位一体”(品种、质量、药效、应用)关键技术的研究
一是品种、质量的研究
(1)壮药资源普查。开展中药壮药资源普查工作,历时5年,组织4000多人次对上林、上思、武鸣、岑溪、钦北、防城、合浦、金秀等8个县域进行了中药壮药资源普查,完成了297个样地、1485套样方、拍摄图片55061张、3487种中药(民族药)的13000份标本的鉴定收录。重视生态可持续发展,保护壮药自然资源,建立GAP规范种植试验区[3]。2017年12月8个县(域)资源普查成果均通过国家中医药管理局验收。
(2)狗肝菜品种整理研究。 本草考证、品种整理,实验结果:狗肝菜为双子叶植物药爵床科植物狗肝菜 Dicliptera chinensis (L.)Ness 的全草茎横切面及叶横切面横切面见图2~3。
图 2 狗肝菜横切面

图 3 乙酸乙酯、正丁醇、醇提液部位 HPLC 图谱


![]() |
火炭母根横切面墨线图 火炭母茎横切面墨线图 火炭母叶横切面墨线图
图 4 火炭母横切面墨线图
(4)锡叶藤品种整理研究。本草考证锡叶藤,来源于五桠果科植物锡叶藤 Tetracera asiatica (Lour.) Hoogland 的根及根茎。原植物鉴别、性状鉴别见下图。
品种优劣测得的广西10个不同产地锡叶藤根药材样品总黄酮的含量范围为11.35%~23.35%,茎药材样品总黄酮的含量范围为 6.32%~15.88%,最高值和最低值相差 2 倍以上,根的总黄酮含量均高于茎的,证实民间常用根的原因。总黄酮含量测定,以控制其药材质量[4]。
(5)广西产拳卷地钱品种整理研究。对广西产拳卷地钱资源品种与药材品质的研究,确定拳卷地钱原植物来源及生药学鉴别特征,进行安全限量检查。实验结果:通过查阅文献和实地考察,广西产地钱属植物主要有三种,即地钱、拳卷地钱和粗裂地钱。
(4)品种安全分析。AAS、AFS 对其重金属安全限量检测,利用原子吸收分光光度法(AAS)对铁、铜、铅、镉进行测定;利用原子荧光分析法(AFS)对汞、硒进行测定。结果六种重金属参照相应的标准进行测定,数据结果从表中可见,镉的平均含量为 0.38mg/kg, 实测相对相差为 9.00%;铜的平均含量为 34.01mg/kg,实测相对相差为 4.70%;铅的平均含量为 16.73mg/kg,实测相对相差为 4.10%;铁的平均含量为 9.49 g/kg,实测相对相差为0.50%;汞的平均含量为 0.12mg/kg,实测相对相差为 4.40%;硒的平均含量为 0.14mg/kg, 实测相对相差为 0.90%。拳卷地钱中镉含量(0.38mg/kg)、铅(16.73mg/kg)、铁(9.49g/kg)、铜(34.01mg/kg)、汞(0.12mg/kg)、硒(0.14mg/kg)。参考国家药典委员会发布中药重金属、 农残、黄曲霉毒素等的限量标准草案中重金属限量值,铜、铅、铁含量较参考值高;镉、汞、硒含量在安全限量范围内[5]。
(5)锡叶藤 ISSR 分子标记鉴别研究
ISSR 引物扩增
图 5 引物 807 对锡叶藤样品的 DNA 图谱
基于 ISSR 的不同产地锡叶藤聚类分析:广西产区的样品大部分聚在一起,广东和香港的样品聚在一起;上思样品和防城区样品亲缘关系最近,地理位置相毗邻,遗传距离较近,说明遗传多样性和地理位置有关。分子标记将不同产地的样品鉴别。
图 6 锡叶藤 ISSR 聚类树状
不同产地锡叶藤的主坐标分析:主坐标分析(PCoA)能更直观反应居群的空间距离关系。基于遗传距离及遗传相似度[6],运用 NTSYS-pc 2.1 软件对各居群锡叶藤进行 PCoA 分析,结果见图 7 及图 8 所示。
图 7 不同居群锡叶藤PCoA 二维图 图 8 不同居群锡叶藤 PCoA 三维图
本研究扩增得到的锡叶藤ISSR带型表现出很高的多态性,而且可重复性较好,结果表明,这个群体较宽的遗传基础,利用ISSR分子标记技术进行其科属种间和种内等级的鉴别是有效和实用的。
二是药效、应用的研究
广西产拳卷地钱药效物质基础研究
本实验以 CCl4 导致的大鼠急性肝损伤为研究模型,测定血清中 ALT、AST、SOD、MDA 和GSH-Px 活性或含量以及肝匀浆中的 TNF-α、IL-1β和 IL-6 水平,对拳卷地钱总黄酮的保肝效用进行研究[6]。
A 拳卷地钱总黄酮对血清中ALT的影响 B 拳卷地钱总黄酮对血清中SOD的影响
C 拳卷地钱总黄酮对血清中MDA的影响 D拳卷地钱总黄酮对血清中GSH-Px的影响
图9 拳卷地钱总黄酮对血清中不同水平影响
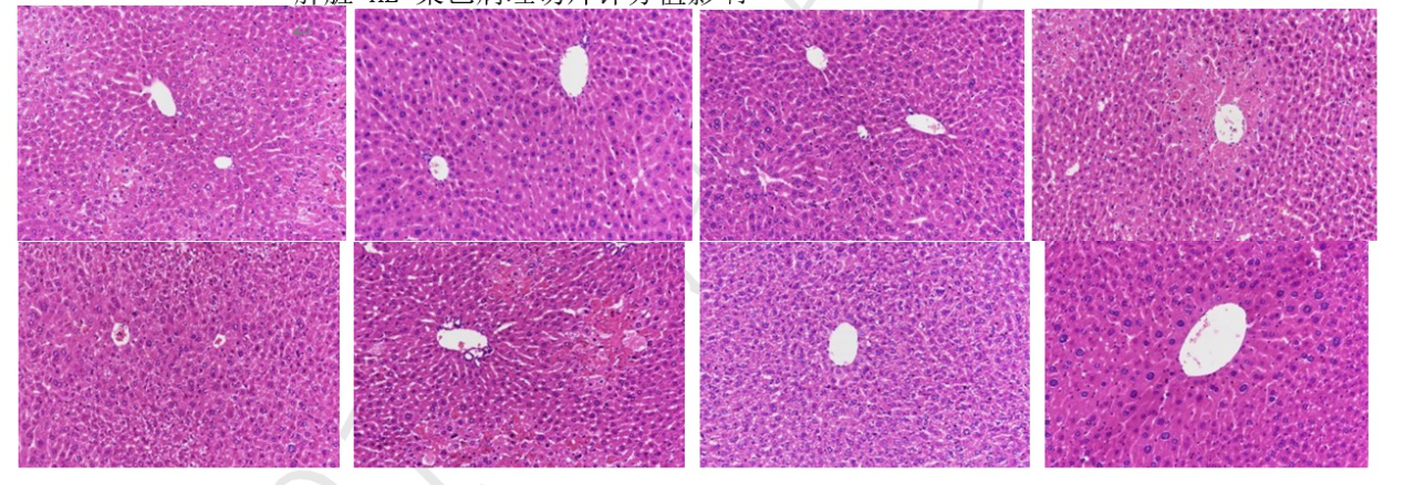
肝组织病理变化观察
图 10拳卷地钱总黄酮对肝组织病理变化的影响
研究结果表明,拳卷地钱总黄酮对CCl4致急性肝损伤大鼠具有保护肝脏的作用,其作用机制可能与抑制脂质过氧化、抗炎作用有关。
广西产锡叶藤药效研究
抑菌活性:锡叶藤提取物在体外对这 14 种受试菌株中的 12 种的细菌的生物活性有不同程度的抑制作用,其中锡叶藤醇提物中的乙酸乙酯萃取部位的抑制作用最强,其次是乙醇提取物,接着是正丁醇萃取物,水提取物均未表现出对受试菌株的抑制作用[7]。对伤寒沙门氏菌、小肠结肠炎耶尔森氏菌的抑制作用最显著。锡叶藤提取物对 2 种真菌未表现出抑制作用。
抗肿瘤活性:锡叶藤提取物对人神经胶质瘤 U251 细胞最为敏感(生药 IC50 为 0.51 g•L-1),人宫颈癌细胞 Hela 细胞(0.54 g•L-1),接着是人胃腺癌 BGC823 细胞(0.55 g• L-1),人肝癌细胞 HepG2(0.60g•L-1),人肺癌细胞 A549(0.68 g•L-1)。锡叶藤乙醇提物对人肝癌细胞 HepG2、人肺癌细胞 A549、人神经胶质 瘤 U251 细胞均具有抑制作用; 锡叶藤水提物对人宫颈癌 Hela 细胞、人胃腺癌 BGC-823 细胞的抑制效果好。
图 11 锡叶藤不同提取物对人肺癌 A549 细胞作用的细胞形态图
人胃腺癌BGC-823细胞 顺铂 乙酸乙酯萃取物 乙醇提取物
图 12 锡叶藤不同提取物对人胃腺癌 BGC-823 作用的细胞形态图
保肝作用机制:锡叶藤醇提物能显著降低 CC14 和酒精所致急性肝损伤小 鼠肝血清中ALT、AST 的含量,综合数据比较,锡叶藤提取物对酒精所致小鼠急性肝损伤优于 CC14 所致急性肝损伤,在检测的十个指标中,对 ALT、ALB、MDA、NO、 CAT、IL-6 这 6 个指标的效果都优于了阳性药联苯双酯。
图 13 锡叶藤不同部位对CCl4 肝及不同部位酒精肝损伤小鼠的
肝脏 HE 染色病理切片评分值影响
图 14 对小鼠肝脏组织病理学改变的影响(HE 切片)
参考文献:
[1]Zhong SA,Kong YY,Zhou L,et al.Efficient conversion of myricetin from Ampelopsis grossedentata extracts and its purification by MIPSPE[J]. JOURNAL OF CHROMATOGRAPHY BANALYTICAL TECHNOLOGIES IN THE BIOMEDICAL AND LIFE SCIENCES,2014, 945:39-45.
[2] 朱华,韦松基主编. 常用壮药生药学质量标准研究[M].南宁:广西民族出版社,2003:122
[3]鄢丹,王伽伯,李俊贤,等. 论道地药材品质辨识及其与生态环境的相关性研究策略[J].中国中药杂志,2012,37(17):2672-2675.
[4]Xiao JB.Dietary flavonoid aglycones and their glycosides:Which show better biological significance[J].CRITICAL REVIEWS IN FOOD SCIENCE AND NUTRITION.2017,57(9): 1874-1905.
[5]国家中医药管理局《中华本草》编委会编.中华本草[M].上海:上海科学技术出版社.1999: 748-750.
[6]张玉杰,张建军,闫兴丽,等.不同产地正伪品沙苑子HPLC指纹图谱鉴别研究[J].中国中药杂志,2003,28(9):820.
[7] Xiao JB, Capanoglu E , Jassbi A R , et al. Advance on the Flavonoid C-glycosides and Health Benefit[J]. CRITICAL REVIEWS IN FOOD SCIENCE AND NUTRITION,2016,56: S29-S45.


单点登录
账号密码登录