-
俗话说窄路难行,有些窄路,尚能将就着走,但这些“路”窄了,您别说领略蜀山锦绣了,就连站起来走两步都难。 今天咱们要讲的这个病例,就和走路有关。这位患者走不了路,不是因为路窄,而是因为腰椎管…… 步行十米,腰腿疼到不行 2021年12月13日,47岁的李女士因“腰痛伴双下肢疼痛麻木”来到附属国际壮医医院疼痛科就诊。 据悉,李女士腰疼已有十几年,且病情逐年加重,近来,双腿也出现疼痛,行走时尤其难受,已经到了“...01.072022
-
2021年12月31日,广西国际壮医医院举办2021年度宣传工作会议,深入学习贯彻习近平新时代中国特色社会主义思想和关于宣传思想工作的重要指示,总结成绩经验,分析研判新形势下医院宣传工作和意识形态领域面临的机遇与挑战,完善工作机制,制定工作计划,同时表彰先进,唱响主旋律,壮大正能量,为医院高质量发展创造良好的舆论氛围。 国壮十大新闻+十大热点推文 参天之木,必有其根;怀山之水,必有其源。从党委书记带头讲党课,...01.072022
-
1月5日下午,赛院在教学楼四楼学术报告厅召开领导班子2021年述职述廉和民主测评大会,YABO鸭脖正处级组织员、统战部副部长邬文燕,统战科科长罗金兰到会指导,赛院领导班子李成林、梁天坚、傅鹏、赵斌及全院中层干部和中级职称以上专业技术人员共78人参会。党委书记李成林主持会议。 李成林代表学院领导班子从重点工作任务、目标及完成情况,年度主要工作开展情况,存在不足及下一步工作思路三方面对2021年学院全年工作进...01.062022
-
心脏是人体的发动机,它一刻不停地工作,在连续不断的“鼓动”中将血液运往身体各处,帮助我们维持生命。但你知道么?对于心律不齐患者而言,这份“鼓动”那是力度忽重忽轻,速度忽快忽慢,没有丝毫规律,使他们每日承受难以言喻的痛苦与折磨。 52岁的林女士曾经也是一位心律不齐患者,但现在她的心脏已重新找回了跳动规律,“多亏了国壮心病科给我做了射频消融术!”她说。 射频消融术是个啥?别急,今天我们一起来看看~ 因...01.052022
-
12月23日,附属国际壮医医院副院长李继清带领103人医疗队伍,紧急驰援防城港市疫情防控工作。4天时间,医疗队根据广西防城港市疫情指挥部全员核酸检测队安排,先后前往市内30余个地点设立核酸检测采样点,累计采样2.7万余人次,顺利完成核酸检测采样任务。 12月24日起,医院壮瑶药制剂中心两条汤剂生产线全线启动,中心全员上岗,医院行政、临床、医技药科室工作人员、党员志愿者纷纷抽出时间到场支持。6天时间,共生产中医防疫...01.052022
-
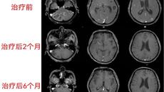
2021年初,家住南宁的陈老伯突然出现剧烈头痛,并伴有脑部昏沉感、行走不稳,起初陈老伯不以为意,认为是自己没休息好或受凉引起,可出乎他意料的是,头痛的症状竟一天比一天严重。1月9日,陈老伯终于无法忍受剧烈的痛楚,家人赶紧将他送至家附近的医院,经头颅CT检查,提示脑内多发囊实性病变,性质暂时不明,于是给他开了几天的对症口服药物,可陈老伯服药后头痛症状非但没有缓解,还出现了恶心、呕吐等症状。医院在给陈老伯...01.042022
-
12月31日,附属国际壮医医院召开2021年度宣传工作会议。本次会议是建院以来召开的首次宣传工作会议。 院党委书记秦祖杰充分肯定了三年来医院宣传工作所取得的成绩,并对做好新形势下医院宣传工作进行了具体部署。他强调,党性原则是党的宣传思想的根本原则,全院宣传工作要以习近平新时代中国特色社会主义思想为指导,坚持党性原则,坚持正确舆论导向;强化阵地意识,坚守意识形态阵地;加强思想引领,促进业务与学科发展;创新...01.032022
-
近日,从自治区总工会传来一条鼓舞人心的喜讯,一附院急诊科荣获2021年度“全区模范职工小家”荣誉称号。 一附院急诊科是国家中医药管理局”十二五”中医急诊学重点学科单位,中国中医急诊专科医联体副主席单位、广西壮族自治区主席单位,广西壮族自治区急诊医学重点专科单位,广西壮族自治区中医急诊质控中心。荣获2017-2018年度“市级青年文明号集体”称号、2020年度“广西工人先锋号”荣誉称号。近年来,在一附院党委行政班...01.032022
-
在2019—2020年度青年文明号创建周期中,一附院急诊科、感染性疾病科、仙葫院区重症医学科、中医治未病中心、仙葫院区急诊科、感染性疾病科发扬“敬业、协作、创优、奉献”的精神,表现突出,根据《自治区卫生健康委 共青团广西区委关于命名广西壮族自治区卫生健康系统2019-2020年度广西青年文明号集体的决定》,被评选为2019-2020年度广西区级青年文明号。 “青年文明号”创建活动是青年文明工程和青年人才工程的重要组成部分...01.032022
-
近日,为深入学习宣传党的十九届六中全会精神,按照医院党委统一部署,附属瑞康医院副院长宋策在A座27楼为所在的机关第七党支部全体党员、预备党员及发展对象宣讲党的十九届六中全会精神。 宋策结合自身学习心得,在宣讲中强调党员同志要深刻领会,学深悟透,切实把支部全体党员的思想和行动统一到全会精神上来,把智慧和力量凝聚到医院发展大局上来。他从三个“需要”、两个“确立”、五大“历史意义”、十个“坚持”、牢...01.022022

单点登录
账号密码登录