颅内疾患致失明,重见光明有绝招
失明,又称为盲,指视力残疾中程度较重的一类。盲证最早见于《素问·生气通天论》, 指目茫茫无所见;《难经·二十难》记载:“脱阴者,目盲。”现代医学则认为该病病因及病变部位较多,有先天与后天之分。后天的病因中颅内动脉瘤是其中一种,因颅内动脉瘤隆起后可以压迫周围神经或组织而出现症状,其中后交通动脉瘤压迫动眼神经而引起动眼神经麻痹、失明的较为常见。
颅内动脉瘤的诊断可通过头颅CT血管成像(CTA)或脑血管造影检查(DSA) 确诊,目前治疗方法主要是应用血管介入或开颅夹闭手术的方式治疗,这两种治疗方法各有优缺点,但都要求较高的专科技术及设备条件。目前,YABO鸭脖第 一附属医院外六科(神经外科)治疗团队拥有此两种成熟技术及相应先进设备,他们以个体化最优化方案为治疗原则,针对具体病例采用适宜的手术方式使患者得到 最好的治疗,并以娴熟的技术和精细操作控制手术风险,减少并发症发生及医疗费用支出。
近段时间来,广中医神经外科收治多例因动脉瘤压迫神经致眼睑下垂而失明患者,他们采用开颅夹闭动脉瘤并切除动脉瘤的方式,此技术能使神经压迫得到及时而充分的减压,不仅去除了动脉瘤病灶这一“定时炸弹”, 还为受压的神经功能恢复创造条件,使患者重见光明,手术效果令人满意。有些病例由于动脉瘤对神经的压迫时间较长,完全恢复需要较长时间。此类患者患病眼球 不能转动,眼睑下垂后整个眼睛睁不开,相当于失明了,它的病因不在眼睑,而在控制眼睑的动眼神经受压。因此,正常人或颅内动脉瘤患者随访过程出现眼睑下垂 伴眼球活动受限,一定要及时到医院检查,除了检查眼部,还要进行脑部血管CT成像(CTA)或脑血管造影检查,尽早明确诊断,以免耽误治疗。
颅内动脉瘤不是肿瘤,它其实是病变血管壁上隆起的“小包”,是在高血压脑血管硬化或发育畸形等病变的基础上血流长期冲击血管而造成的,因为局部血管壁膨隆后,此处变薄,很容易破裂引起颅内蛛网膜下腔出血,若不及时治疗,不仅出现失明,还可导致严重后果,甚至危及生命!早期诊断及早期治疗完全能治愈。
病案报告:
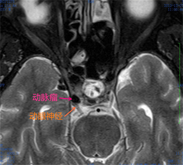
患者陆某某,男,58岁,因“右侧眼睑下垂、视力障碍半月”入院。诊断:1.右侧后交通动脉瘤,2.右侧动眼神经麻痹。入院后予以开颅动脉瘤夹闭手术并切除动脉瘤。术后2周,患者眼睑逐渐能睁开,眼球恢复活动,视力恢复。

术前MRI右侧动眼神经受压

术前CTA右侧后交通动脉瘤

单点登录
账号密码登录