医事速递丨腹腔镜下HeIIer-Dor术成功实施,国壮首例

2月20日上午,广西国际壮医医院小儿外科腹腔镜下食管贲门肌切开术+胃底折叠术(腹腔镜下HeIIer-Dor术)成功实施,国壮客座教授、北京儿童医院新生儿外科主任黄金狮教授主刀,小儿外科秦伟、黄孙辉两位医生协助。

黄金狮教授主刀为患儿行腹腔镜下HeIIer-Dor术
贲门失弛缓症是由于食管贲门部的神经肌肉功能障碍,所致的食管动力障碍性疾病,其主要特征是食管缺乏蠕动、食管下端括约肌高压和对吞咽动作的松弛反应减弱,临床表现为吞咽困难、反复呕吐、胸骨后疼痛、食物返流,以及因食物返流误吸入气管所致咳嗽、肺部感染等症状。

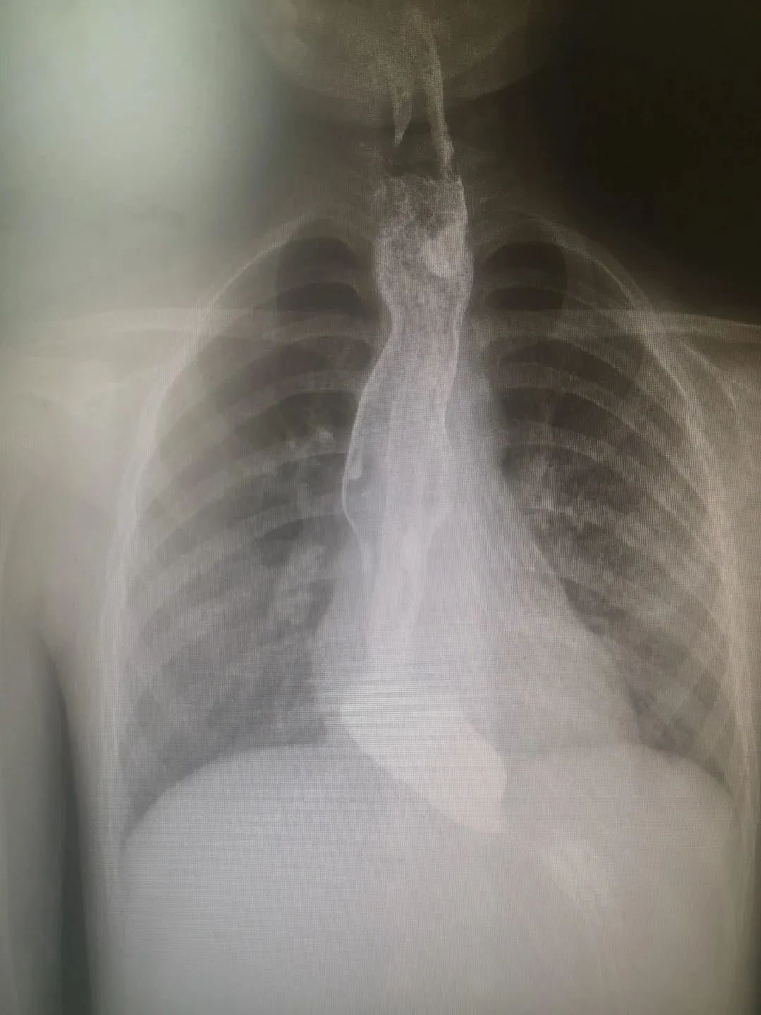
食道造影显示该患儿食道下端有鸟嘴样改变,食道下端扩张

手术微创、无血,有利于患儿快速康复
受术6岁患儿反复呕吐2年多,至多家大医院求医治疗未果,经人介绍找到国壮小儿外科主任杨体泉。食道造影显示该患儿食道下端有鸟嘴样改变,食道下端扩张。完善相关检查后,2月20日,黄金狮教授主刀为患儿行腹腔镜下HeIIer-Dor术,该手术分两个步骤完成,首先在贲门前和食道下段将肌层切开,让痉挛的肌肉从紧缩的“O”型变为“C”型,以解决食道下端梗阻问题;然后再施行胃底叠迭术,将“C”型食管包裹,以解决食管返流问题。该手术通过肚脐自然通道以及肚脐周边3个约1cm的小孔进行,手术微创、无血,有利于患儿快速康复。

手术室护士配合医生完成手术
腹腔镜下HeIIer-Dor术为国壮成功开展的首例手术,比较考验主刀医生的操作技能及与助手间的配合度。据了解,患儿目前恢复良好,将于术后第三天进食,一周后出院。

单点登录
账号密码登录