光荣榜丨高龄新冠肺炎重型患者家属的心声
“我妈这次住院真的是‘死里逃生’!”近日,林女士满怀感激地将一面锦旗送到广西国际壮医医院肾病科主任吕冬宁手中,“感谢你们,没有你们,我妈就危险了!”

高龄透析患者感染重型新冠肺炎
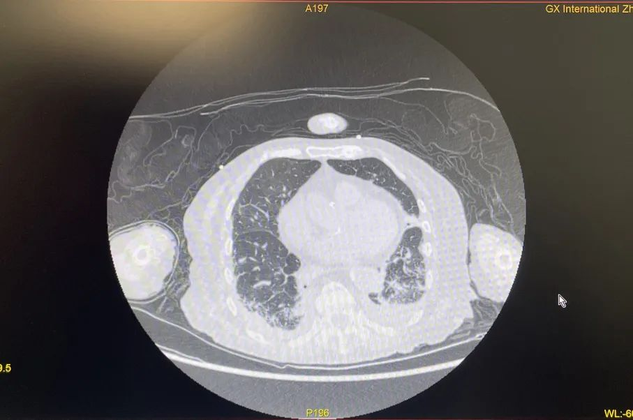
2022年12月末,87岁的胡奶奶因“气喘、咳嗽”等症状到国壮肾病科就医,被发现血氧低下和新型冠状病毒感染,经CT进一步检查发现其肺部感染严重。
“情况不容乐观,患者必须尽快接受抢救。”吕冬宁表示,胡奶奶既是高龄患者,又是维持性血液透析患者,心肺功能差,基础免疫力很弱,最棘手的是,患者感染了重型新冠肺炎,综合来看很可能导致呼吸衰竭,死亡率很高。
当日下午,肾病科团队当即以面罩给氧、CRRT(床边连续性血液净化)治疗等方式为胡奶奶维持生命体征,同时以多种药物中、壮西医结合为其抗感染、补气血。

胡奶奶肺炎程度高,氧合指数、氧分压极低。
持续治疗,患者“死里逃生”
然而,随后数天,胡奶奶病情加重,出现呼吸衰竭、心功能衰竭、意识不清、烦躁、消化道出血等情况,“病情太重,再不改善就只能送ICU了。”吕冬宁说。
为改善病情,肾病科团队经查阅病历资料、开展院内外会诊后,再次根据胡奶奶实际病情调整治疗方案,加强用药。“治疗方向是对的,我妈妈几天就苏醒了,渐渐可以说话,可以吃东西了,状态是一天比一天好!”林女士高兴地说。
在肾病科团队的持续努力下,胡奶奶消化道出血状况解除;随后肺炎程度减轻,血氧回归正常值,脱离生命危险,气喘、意识不清、烦躁等症状消失,核酸结果转阴,后顺利康复出院。


治疗后,胡奶奶肺炎程度减轻,氧合指数、氧分压改善明显,脱离生命危险
患者家属留言:
“我妈在国壮透析四年了,两年前曾因病在国壮住院,肾病科医护团队为她控制住了病情,所以这回发现病情后,我依然选择让她在这治病,果然又一次帮她渡过了难关,在此我要对医生护士表示真诚的感谢!谢谢你们!”

单点登录
账号密码登录