瑞康医院成功完成一例特发性脊柱侧弯椎体矫形手术
16岁的小松跟大多数同龄孩子一样爱玩爱闹,但是去年七八月份的时候,家人却发现小松的背部不知怎么回事,出现了明显的右侧侧弯畸形。由于小松家住乡下,父母整日为生计奔忙,都无暇顾及到他,看着小松身体无痛无不适,便觉得没有大碍,没让他做进一步治疗。直到今年春天,正处在长身体阶段的小松背部侧弯畸形愈发严重起来,出现了民间常说的“剃刀背”症状。处在青春期的孩子都较为敏感,同伴们异样的眼光让他如芒在背,小松也就渐渐变得沉默寡言起来,父母这才开始担心,把他带到了瑞康医院骨脊柱二区寻求治疗。
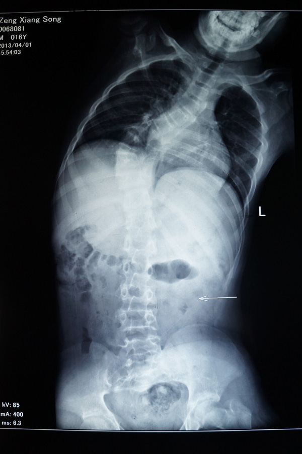
瑞康医院骨脊柱二区的医生给小松做了详细的身体检查,发现他的胸5-腰1椎体节段明显向右侧侧弯,呈小“S”形状,胸5-腰1棘突及棘突两旁无明显压痛及叩击痛,右侧竖脊肌肌张力紧张,左侧正常,站立姿势时测量左侧肩比右侧肩高约2cm。同时进行并足前屈弯腰试验时,发现小松的右侧肩胛骨明显高于左侧,出现“剃刀背”畸形,脊柱左右侧弯柔软性差,Cobb角65°[i],胸腰椎MRI平扫检查确诊:脊椎侧弯畸形。
小松的爸妈懵了,他们央求医生一定要想办法帮小松把歪了的背给“扳直”。骨脊柱二区刘汝专主任和鲁世金主任等专家迅速组织了术前科室讨论,一致认为:小松的脊柱侧弯明显,脊柱侧凸严重影响了他的生长发育、外观,同时若放任侧凸发展下去,必然会压迫心脏、肺脏等器官,影响心肺功能,脊柱不平衡还会导致肌肉神经受牵拉,保守治疗无效,同时手术指征明确,宜马上施行手术。结合小松的临床症状和辅助检查,此次手术的目的在于纠正他的脊柱侧弯,恢复脊柱的稳定性,手术方式选择后路脊柱侧凸畸形矫形、椎弓根螺钉内固定植骨、肋骨截骨术。刘汝专主任等专家拟好了周详手术方案,还特别列出了术前术中的注意事项:术前注意测量设计好内固定物放置方式,并预计矫正角度;术中注意熟悉解剖,适当矫形,避免过度纠正,导致脊髓神经牵拉性损伤,固定要牢固;术后给予脱水、营养神经、预防感染等药物治疗。
现在,经过手术后的小松脊柱外观基本恢复了正常,他感到背部没有明显的疼痛,且背部的手术伤口也愈合良好,没有发热头晕头痛和恶心呕吐等不适症状,饮食睡眠都很好,四肢感觉、运动、肌力正常。
刘汝专主任介绍说,青少年特发性脊柱侧弯(简称AIS, adolescent idiopathic scoliosis)在1~16岁危险人群的发病率是1%~3%。未治疗的AIS患者可能发生的最常见的后遗症有曲线进展、背痛,限制性肺通气障碍,影响身体整体功能和自尊心,带来社会心理问题。有学者报道成人AIS经常背部疼痛者占61%。
刘汝专主任表示,虽然小松的特发性脊柱侧弯病因尚无法查明,但有一点可以明确,现在不少青少年由于姿势不正(如背书包、打电脑等),很容易发生脊柱侧弯。另外,如果发育不正常,脊柱两侧肌力不平衡,也会发生侧弯。这两种原因造成的青少年特发性脊柱侧弯非常多。青少年特发性脊柱侧弯要早发现早治疗。如果父母能够及时发现子女的脊柱不正,可对其姿势予以尽快纠正,并辅以按摩理疗即可。如果这个办法不行,可采用支架固定的办法进行矫正。实在发现得晚了,还可以进行手术。手术的最佳年龄是13~14岁。
刘汝专主任进一步介绍,尽管青少年特发性脊柱侧弯的诊断和治疗是众所周知的,但是世界范围内治疗方法却是多种多样。大多数欧洲临床医生对脊柱侧弯曲线小和进展危险不大的患者采用物理治疗,运动疗法可增加患者的协调性,脊柱的本体感觉和运动控制。非手术治疗的目的就是防止脊柱侧弯曲线的进展,支具治疗的目的是在曲线进展危险期内防止曲线的进展,直到患者达到骨骼成熟,最大可能地减少手术治疗。
而外科治疗的目的是曲线矫正并维持这种矫正。应用内固定器械外科手术治疗的基本目标是:
(1)控制曲线进展;
(2)取得三维最大永久性畸形矫正;
(3)通过平衡躯干改善外观;
(4)尽量减少短期或长期并发症。
一般的手术指征是青少年曲线Cobb角大于45°,对于成人,外科手术指征是由于侧弯造成的疼痛,非手术治疗无效,侧弯曲线进展症状加重,功能丧失。尽管青少年脊柱侧弯患者可以选择延迟手术治疗直到成年人,但是成年人侧弯曲线柔韧性较儿童明显减低,常需要前后路联合手术治疗(分期或者一期手术)。另外成人手术并发症,如假关节形成,侧弯近端和远端后凸畸形和康复时间都较青少年人群发生率明显增高。
目前脊柱矫形手术在脊柱众多手术中算得上是难度较大的手术之一。AIS患者的椎弓根较正常的椎弓根细,并由于椎体的旋转畸形而增加置入椎弓根螺钉的风险。位置不正确的椎弓根螺钉可能导致严重的神经、血管和内脏损伤。瑞康医院脊柱骨科二区的专家团队,经过多年的学习及手术实践,已经掌握并完善了一整套脊柱侧弯诊断及治疗的方案,其脊柱侧弯矫形手术已达到国内先进水平。

小松术前大体照

小松术前的X光片

小松术前的X光片2

小松术后的X光片

单点登录
账号密码登录