从容、细致迎接挑战 摘除肝脏中的“定时炸弹”
近日,54岁的刘先生,因腹痛到医院检查时发现肝尾状叶6x5cm巨大血管瘤。一听说是肿瘤,刘先生慌了神,在亲戚的建议下,来到广西国际壮医医院找到肝胆外科副主任医师韦邦宁求助。
“亲戚推荐我来找韦医生看看,我也上网了解了韦医生的信息,知道他做肝脏手术的经验丰富,我愿意相信他。”刘先生表示。
韦邦宁将患者收治入院,完善相关检查,经过仔细阅片后,他知道这台手术的困难程度不小。

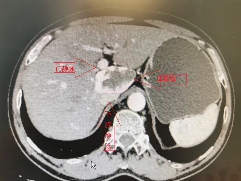
患者术前CT
“大的肝脏血管瘤是定时炸弹,有自发破裂或外伤破裂风险。”韦邦宁解释说,尾状叶位于肝后下腔静脉的前方,第一肝门的后方,三支肝静脉的下方,夹于三个肝门结构之间,位置深、显露困难,周围毗邻门静脉、下腔静脉等粗大的血管。尽管随着肝脏外科技术水平的不断发展,如今针对尾状叶的成功切除手术已逐渐增多,但此项手术依然存在不小的风险。
根据患者具体情况,韦邦宁组织科室骨干积极讨论手术方案,根据CT及血管成像结果,理清肿瘤周围血管分布、走向,并根据手术可能遇到的各种困难制定手术的各种预案。
经过充分评估和术前准备后,6月21日,由韦邦宁主刀,带领手术团队为刘先生行肝尾状叶切除术。

韦邦宁为患者施术
手术顺利开台,在被重要血管包围的狭小空间内,韦邦宁凭借丰富的外科手术经验,细致、精准的将肿瘤周围血管一点点游离,通过与手术助手、麻醉医师和器械护士的熟练配合,终于将肿瘤完全取出,术中出血量约100ml。
“手术的暴露和控制出血对术者技术是巨大考验。” 手术顺利结束,韦邦宁也松了一口气。

术后,为患者辅以穴位敷贴、雷火灸、耳穴压豆、中药汤剂灌肠等中壮医特色快速康复疗法,刘先生康复状况良好,不日即可出院。
据悉,随着学科团队建设的不断完善,我院肝胆外科近期连续开展多台肝脏高难度手术,患者均能够快速康复,这既是手术团队成熟的表现,也是中医壮瑶医参与的快速康复理念得以临床验证的实证。

单点登录
账号密码登录