了解一下微创拔牙,别对口腔科存在“刻板印象”~
我:“啊...嗯...唔......”(内心OS:我这下巴都酸了还没拔出来吗?)
我:“呜呜呜.....(医生,拔出来了吗?)”
......
牙医:“牙卡太紧了,拔不出来,我得上骨凿和骨锤,你忍着点.......”
“......啊!!!!”

看到这里,拔过牙的朋友估计已经开始颤抖了,因为接下来患者要面对的便是难以忍受的痛苦.....正是由于这种痛苦,和亲历者口口相传的感受,让许多人对牙疼能忍则忍,对口腔科也是“敬而远之”。
咱今天的故事也是拔牙,不过患者没喊疼,是不是与您的印象不符?一起来康康!
牙不疼了,请帮我拔了它
近日,27岁的崔小姐来到附属国际壮医医院口腔科就诊。她表示,反复疼了2个月的牙现在终于不疼了,想把它拔掉。
不疼的牙为啥要拔?
“是阻生智齿。”口腔科主任陈灵解释。现代人至少一颗智齿发生阻生(牙齿部分萌出或完全不能萌出)的概率超过80%,这种阻生智齿会造成冠周炎、食物嵌塞、龋病等各种并发症,影响患者的进食和口腔舒适度,甚至导致牙髓炎等严重口腔疾病。若在牙齿、牙周发炎时拔牙,极易导致出血过多、感染加重等状况,一般需要在炎症消除后才能拔牙。
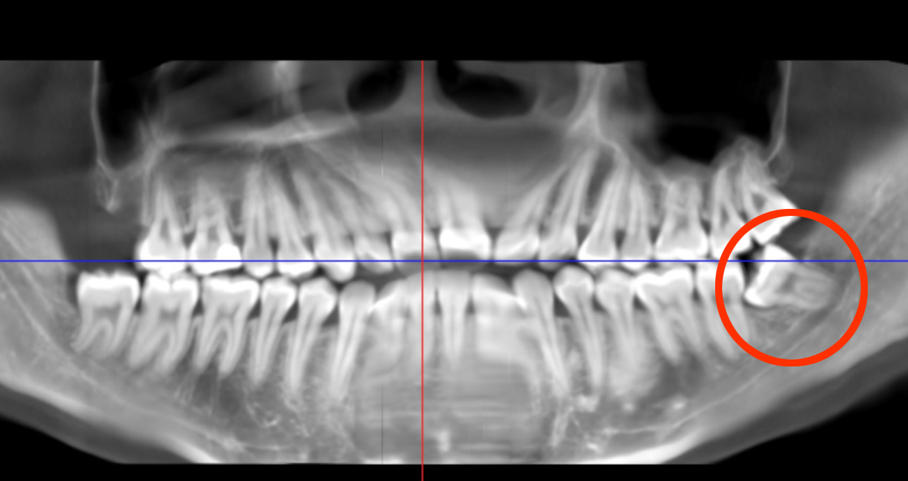
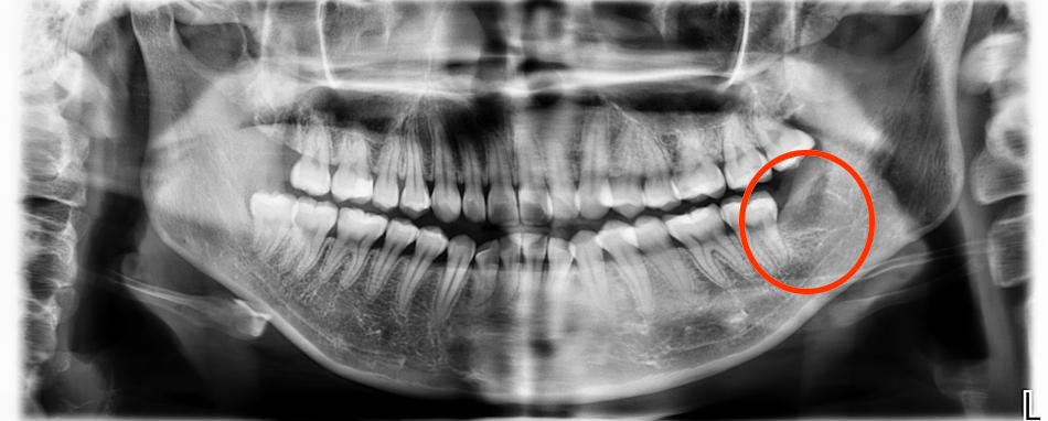
然而,检查结果显示,崔小姐左下智齿深藏于骨组织,牙根部紧贴下牙槽神经管。曾经拔过牙的小伙伴肯定认为她即将留下一段痛苦回忆,并已经开始为她祈祷。
真的是这样吗?
“其实不会太疼,因为我们早已用上微创拔牙技术。”陈灵说。

检查显示,崔小姐左侧下颌智齿阻生,紧贴下牙槽神经管
牙拔完了,没有大呼小叫
what?拔牙都有微创???
陈灵介绍,微创拔牙指的是运用多种现代牙科器械拔牙的一种治疗方式,摒弃了传统牙挺、骨凿、骨锤等拔牙工具,在拔除下颌阻生智牙的治疗上,临床疗效更好,拔除时间更短,减轻了张口受限、肿胀及疼痛程度,且并发症较少,目前已全面替代传统拔牙方法成为解决阻生牙的首选方案。
完善相关检查后,崔小姐接受了拔牙。此次拔牙中,陈灵特别使用了科室最新引进的设备——超声骨刀。该设备可释放只对特定硬度骨组织具有破坏作用的高频超声波,精准将牙齿与骨组织分离,不会影响、破坏牙周血管和神经组织,使患者在近乎无痛的状态下接受拔牙治疗。
半小时后,崔小姐左侧的2颗智齿被完整拔除。“治疗中患者挺安静,也没说过疼,说明体验还是很不错的。”陈灵说。拔牙后,崔小姐恢复较好,无明显不良反应。


成功拔除智齿
微创拔牙无痛,请大家放心来“拔”
近年来,随着微创化、舒适化、规范化治疗理念深入人心,手术方法和器械设备也在不断研发更新。据悉,国壮口腔科现已拥有口腔CBCT(芬兰 Planmeca Oy) 、超声骨刀、微创牙挺牙钳等设备,根据不同场景结合使用,能在微创的基础上,为患者提供无痛、高效、出血少的拔牙体验,且有利于后续康复。目前,口腔科已完成微创拔牙超500例,受到患者广泛好评。
“微创拔牙能做到无痛,且术后反应轻微、恢复快,大家无需害怕。”陈灵表示,长久以来,许多牙病患者对拔牙存在“刻板印象”,对牙齿问题采用“拖”字诀,不得已才来治疗,把小问题拖成了大问题,对口腔造成了不可挽回的伤害,“面对口腔问题大家应警惕,建议发现牙疼第一时间到口腔科就诊。”他说。

单点登录
账号密码登录